
Restauração dental
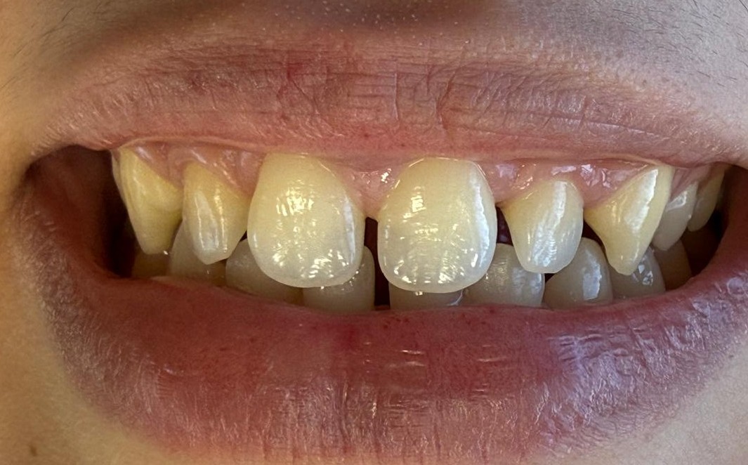
🦷 Restauração Dental: recupera forma, função e estética do dente 🦷 Quando o dente perde estrutura, a restauração devolve tudo o que ele precisaCáries, fraturas,
As lentes de resina são um tratamento estético minimamente invasivo que devolve harmonia e brilho ao sorriso. Com elas, é possível corrigir forma, cor e pequenas imperfeições dentais de maneira rápida e segura, preservando a estrutura natural do dente.
O tratamento periodontal é essencial para a saúde das gengivas e para o suporte dos dentes. Ele remove a placa bacteriana e o tártaro abaixo da linha gengival, prevenindo inflamações, sangramentos e até a perda dentária. Um sorriso bonito começa com gengivas saudáveis.
A dentística restauradora devolve a forma, a função e a estética dos dentes comprometidos por cáries, fraturas ou desgastes. Com materiais modernos e técnicas conservadoras, é possível restaurar o sorriso de maneira natural, preservando ao máximo a estrutura dental.
O clareamento dental é um tratamento seguro e eficaz que remove pigmentos e manchas da superfície dos dentes, devolvendo brilho e luminosidade ao sorriso. Realizado com produtos de qualidade e acompanhamento profissional, garante resultados naturais sem causar sensibilidade excessiva.
O protocolo preventivo de doenças bucais tem como objetivo manter a saúde da boca em equilíbrio, evitando o surgimento de cáries, gengivites e outros problemas. Inclui avaliações periódicas, profilaxia profissional, orientação de higiene e cuidados personalizados para cada paciente.
Na primeira consulta, conversamos sobre suas necessidades, avaliamos sua saúde bucal e traçamos juntos um plano de cuidado personalizado — tudo com tranquilidade, acolhimento e explicações claras. Aqui, cada paciente é recebido com atenção e respeito, para que se sinta seguro desde o primeiro momento.








Cirurgiã-dentista há mais de 8 anos, apaixonada por cuidar de pessoas e ver a transformação que um sorriso saudável pode trazer para a vida de alguém. Tenho mestrado em Periodontia e formação em Lentes de Resina. Meu atendimento une técnica, empatia e leveza — porque acredito que cada sorriso é único e merece cuidado genuíno.
Um toque leve no ombro, antes de iniciar o atendimento, diz muito mais do que parece. É o jeito de comunicar: “relaxe, eu estou aqui com você.” No meu consultório, acredito no poder desses pequenos gestos. Eles traduzem o que ofereço: atenção, presença e um cuidado que acolhe.
Endereço: R. Armando Barbedo 322, bairro Tristeza, Porto Alegre
(51) 98996-0898
otiliadisnerodontologia@gmail.com
Publicado em Graciela Regina DepckeTrustindex verifica se a fonte original da avaliação é Google. Profissional atenciosa e dedicada, explica o entendimento e tira todas às dúvidas. Super recomendo a profissional atendimento dinâmico e atenção aos detalhes que fazem a diferençaPublicado em Nailde DisnerTrustindex verifica se a fonte original da avaliação é Google. Ótima profissional, muito atenciosa. Resultado além do esperado, super recomendo!Publicado em Milena MossiTrustindex verifica se a fonte original da avaliação é Google. Profissional excelente, atendimento incrível!Publicado em João Ricardo MossiTrustindex verifica se a fonte original da avaliação é Google. Ótimo atendimento.Publicado em Tatiana FreitasTrustindex verifica se a fonte original da avaliação é Google. Uma profissional excelente, com plus de delicadeza, cuidado e empatia um pacote raro ultimamente.Publicado em Diogo RigoniTrustindex verifica se a fonte original da avaliação é Google. Atendimento da Dra Otilia é ótimo, e nota-se que és uma profissional qualificada e entende do que fala. Tanto o tratamento quanto o atendimento foram perfeitos, recomendo a Dra.Publicado em Fbermed BermedTrustindex verifica se a fonte original da avaliação é Google. Além de super competente a Dra. É extremamente humana . Super recomendoPublicado em Raissa Caroline Pereira OletoTrustindex verifica se a fonte original da avaliação é Google. Foi maravilhoso, cada momento foi surpreendente. Super indicoPublicado em Suélen ValentiniTrustindex verifica se a fonte original da avaliação é Google. Estou realizando meu tratamento com a Dra. Otília e não poderia estar mais satisfeita. Ela é extremamente atenciosa, cuidadosa e dedicada em cada detalhe. Estou muito feliz com o resultado do meu clareamento. Recomendo de olhos fechados!Certificado: TrustindexO selo verificado do Trustindex é o Símbolo Universal de Confiança. Apenas as melhores empresas podem obter o selo verificado que tem uma pontuação de avaliação acima de 4.5, com base nas avaliações dos clientes nos últimos 12 meses. Leia mais

🦷 Restauração Dental: recupera forma, função e estética do dente 🦷 Quando o dente perde estrutura, a restauração devolve tudo o que ele precisaCáries, fraturas,

🦷 É o tratamento responsável por cuidar das gengivas e dos tecidos de suporte dos dentes. Atua no controle da gengivite e da periodontite, eliminando

✨ ⚡ A sensibilidade não é “dor” — é um pulso momentâneo do denteSabe aquela fisgada rápida depois do clareamento? Parece um choque leve.Isso não
Endereço: R. Armando Barbedo 322, bairro Tristeza, Porto Alegre
Respeitamos a sua privacidade: seus dados são utilizados exclusivamente para contato e atendimento, seguindo todas as normas de proteção e segurança da informação.